
循環器(心臓病)専門外来
Cardiovascular medicine
循環器(心臓病)専門外来について
当院では循環器認定医による各種心臓病の診断と治療を行っています。心臓病とひとくくりにされるものの、年齢や品種により病気は様々です。
そのため、診断や重症度・治療反応評価を正確に行うためには一般的身体検査に加えて様々な検査を行う必要がありますが、いずれの検査も痛みはほとんどありません。
こんなサインを見つけたら
迷わずにご相談ください。

循環器(心臓病)症例
CIRCULATORY
SYSTEM
SYSTEM
症例
心原性肺水腫
担当獣医師
髙村 一樹
患者特徴
トイ・プードル、11歳4ヵ月、避妊メス

- 症状
- 1週間ほど前から呼吸が徐々に速くなってきた
- 来院経緯
- かかりつけ医からの紹介受診
- 診察内容
- 身体検査で心雑音が聴取され、腹囲膨満も併せて確認された。
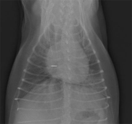
- 胸部X線検査にて、心陰影の拡大および左肺後葉領域の不透過性亢進像が認められた。
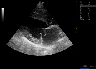
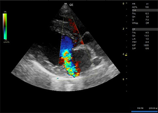
明らかな腹水貯留は認められなかった。 - 心エコー図検査にて、僧帽弁の逸脱とそれに伴う僧帽弁逆流が認められた。
- 経皮的酸素飽和度 (SpO2) はルームエアーでは92%と低値を示した。
- 以上から心原性肺水腫と診断した。
- 行った処置等
- 利尿剤および強心剤を静脈注射後、ICUでの管理を行った。管理中は呼吸数の測定および足根部にモニターを設置し、常にSpO2測定を行っていた。
- 呼吸数の減少が認められたため内服薬へ切り替えをし、徐々に酸素室からの離脱を目指した。
- 入院から3日後に退院し、定期通院となっている。
Access
アクセス



